СТОМАТОЛОГИЧЕСКАЯ КЛИНИКА CRISTI DENT

записаться на консультацию
НЕ УВЕРЕНЫ, КАКАЯ УСЛУГА ВАМ НУЖНА?
Оставьте заявку — врач проведёт короткую консультацию и подскажет, с чего начать лечение именно в вашем случае.
Записаться на консультацию

РЕЗУЛЬТАТЫ ЛЕЧЕНИЯ: РЕАЛЬНЫЕ СЛУЧАИ НАШИХ ПАЦИЕНТОВ

Close-up of teeth showing chipped front upper teeth and signs of plaque buildup near the gums.
до
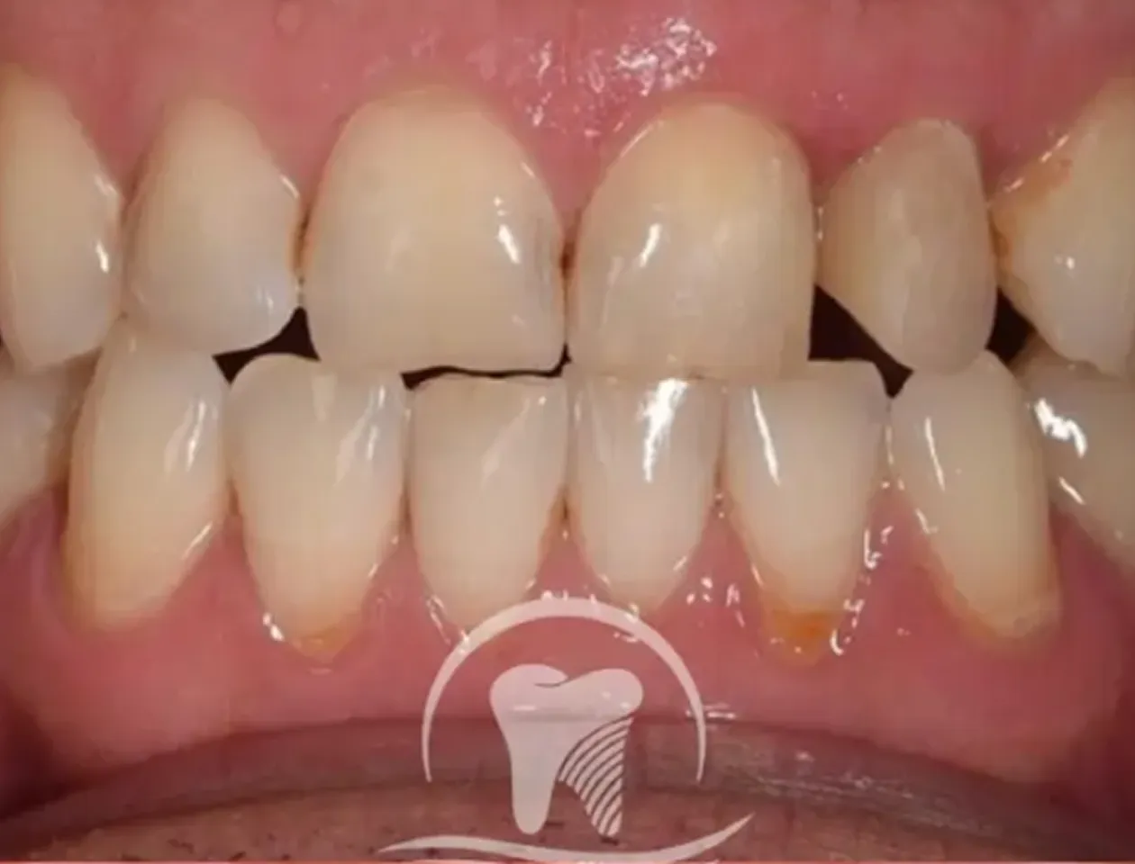
Close-up of healthy, clean upper and lower front teeth with pink gums.
после
Имплантация и протезирование зубов
Восстановлены утраченные зубы с помощью дентальной имплантации и ортопедического протезирования с полным восстановлением функции и эстетики.
Close-up of teeth showing chipped front upper teeth and signs of plaque buildup near the gums.
до
Close-up of healthy, clean upper and lower front teeth with pink gums.
после
ЭСТЕТИЧЕСКАЯ РЕАБИЛИТАЦИЯ УЛЫБКИ / КЕРАМИЧЕСКИЕ ВИНИРЫ
Выполнена комплексная эстетическая реабилитация с помощью керамических виниров — восстановлены форма, цвет и гармония улыбки.
Close-up of teeth showing chipped front upper teeth and signs of plaque buildup near the gums.
до
Close-up of healthy, clean upper and lower front teeth with pink gums.
после
КОРРЕКЦИЯ ФРОНТАЛЬНОЙ ЗОНЫ / ВИНИРЫ
Проведена коррекция фронтальных зубов с установкой виниров для улучшения цвета, симметрии и эстетики улыбки.
Close-up of teeth showing chipped front upper teeth and signs of plaque buildup near the gums.
до
Close-up of healthy, clean upper and lower front teeth with pink gums.
после
КОРРЕКЦИЯ ФРОНТАЛЬНОЙ ЗОНЫ / ВИНИРЫ
Проведена коррекция фронтальных зубов с установкой виниров для улучшения цвета, симметрии и эстетики улыбки.
предыдущий кейс
следующий кейс

Врачи клиники Cristi Dent

Владислав Касиан
Владислав Касиан
Главный врач
Ортопед

За 20 лет практики помог более чем 20 000 пациентам восстановить зубы с помощью коронок, протезирования и комплексных ортопедических решений. Курирует сложные клинические случаи и отвечает за качество лечения в клинике.

Читать про врача
Роман Касиан
Роман Касиан
Хирург-имплантолог
Парадонтолог

Работает с имплантацией, полной реабилитацией и восстановлением кости и дёсен. Проходил обучение в University College London (Eastman Dental Institute). Победитель всемирного конкурса среди хирургов-имплантологов (MegaGen MegaMind).

Читать про врача
Александр Боровецкий
Александр Боровецкий
Стоматолог общей практики

За 8 лет практики помог более чем 10 000 пациентам с лечением кариеса, восстановлением зубов и профилактикой. Работает с терапевтическим лечением, эстетическими реставрациями, лечением зубных каналов и базовым протезированием

Читать про врача
предыдущий врач
Следующий врач

Пациенты о лечении в Cristi Dent

Предыдущий отзыв
следующий отзыв

Акция для новых пациентов

На первом приёме бесплатно:

На первом приёме бесплатно:

  • Консультация стоматолога
  • Необходимая диагностика
  • Подробный план лечения с объяснением вариантов

Объём диагностики определяется врачом и зависит от клинической ситуации.

Рассрочка под 0%

Рассрочка под 0%

Если лечение требует времени или состоит из нескольких этапов, его можно оплачивать постепенно:

  • до 8 платежей
  • 0% переплат
  • прозрачные и понятные условия

Условия рассрочки уточняются на консультации.

предыдущая акция
Следующая акция
Получить условия акции

ПОЧЕМУ ПАЦИЕНТЫ ВЫБИРАЮТ НАШУ СТОМАТОЛОГИЮ

ЧЕСТНОЕ ЛЕЧЕНИЕ БЕЗ ПЕРЕПЛАТ

Перед началом лечения вы точно знаете, что и за сколько будет сделано.
Мы объясняем каждый этап простым языком и фиксируем итоговую стоимость заранее. Без навязанных процедур и неприятных сюрпризов по ходу лечения.

ПРОГНОЗИРУЕМЫЙ РЕЗУЛЬТАТ ЛЕЧЕНИЯ

Мы планируем лечение заранее и понимаем, к какому результату идём.  Пациенту заранее объясняется, что будет сделано и каким будет итог.  Это особенно важно при имплантации, коронках и эстетическом лечении.

ОБОРУДОВАНИЕ И МАТЕРИАЛЫ УРОВНЯ ТОП-КЛИНИК ЕВРОПЫ

Наши инструменты позволяют лечить точнее, аккуратнее и с минимальным вмешательством в здоровые ткани. Для пациента это означает меньше боли, больше комфорта и предсказуемый результат.

КОМФОРТНОЕ ЛЕЧЕНИЕ БЕЗ БОЛИ

Анестезия подбирается индивидуально с учётом чувствительности пациента. Процедуры проходят спокойно и без резких болевых ощущений. К нам часто обращаются пациенты, которые годами откладывали лечение из-за страха.

4 500+ ПАЦИЕНТОВ ИЗ 12 СТРАН

За годы работы мы пролечили тысячи пациентов — от детей до взрослых с сложными клиническими случаями. Благодаря этому можем подобрать оптимальное решение для любой ситуации.

ОФИЦИАЛЬНАЯ ГАРАНТИЯ

У нас чётко прописаны сроки гарантии для каждого вида лечения: пломб, коронок, чисток, ортодонтии и других процедур. Если в рамках гарантии возникает проблема — устраняем её бесплатно согласно условиям.

Ответы на часто задаваемые вопросы

Больно ли лечить зубы?

Нет, лечение проходит комфортно и без боли. Мы подбираем анестезию индивидуально, поэтому процедуры легко переносятся даже пациентами с повышенной чувствительностью или негативным прошлым опытом.

МОЖЕТ ЛИ СТОИМОСТЬ ИЗМЕНИТЬСЯ ВО ВРЕМЯ ЛЕЧЕНИЯ?

Нет, перед началом мы составляем детальный план лечения и согласовываем его вместе с ценой. После утверждения сумма остаётся фиксированной без неожиданных доплат.

Сколько длится приём?

В среднем процедуры занимают от 30 до 60 минут. Более сложные случаи могут потребовать больше времени, о чём врач заранее предупреждает.

Как проходит первый визит?

Первый приём включает осмотр и диагностику. При необходимости выполняется снимок, врач оценивает состояние зубов и дёсен, после чего объясняет план лечения и отвечает на все вопросы.

Что делать, если я боюсь стоматологов?

Мы создаём спокойную и комфортную атмосферу, подробно рассказываем о каждом этапе и подбираем анестезию с учётом ваших ощущений. Большинство пациентов отмечают, что всё проходит легче, чем они ожидали.

Можно ли лечить зубы во время беременности?

Да, многие процедуры допустимы начиная со второго триместра. При необходимости лечение согласовывается с вашим врачом, а анестезия подбирается безопасная.

Есть ли гарантия на лечение?

Да, мы предоставляем гарантию на выполненные работы. Её условия обсуждаются на консультации и зависят от вида лечения и индивидуальных факторов.

The CRISTI DENT dental clinic team stands on the steps in front of the clinic entrance. Nine staff members in medical attire pose beneath the “CRISTI DENT Clinica Stomatologica” sign, with a tooth-shaped logo displayed on the building facade.
cristi dent
A dentist and an older male patient sit in a consultation room, reviewing 3D dental scan images on a computer monitor. The dentist points at the screen while explaining the treatment, and both are seated in office chairs in a clean, white clinical environment.
Ресепшен стоматологической клиники Cristi Dent с женщиной за белым столом и новогодними украшениями.
Записаться на прием
Thank you! Your submission has been received!
Oops! Something went wrong while submitting the form.